Dental Crown & Bridge
Maintain the health of teeth that have been structurally affected by the placement of larger fillings and root canal treatment. While dental fillings repair the areas that have been affected by dental disease, they leave the existing tooth structure prone to chipping, fractures, crack lines and potential loss. Dental crowns are an excellent choice for those with risks to the structure of teeth.
Replacing missing teeth can be restore with the placement of dental bridges, which essentially are two crowns (one on either tooth of a gap/space) which are joined by a pontic (false tooth). These can be a cost effective solution for those who have adjacent teeth with structural concerns over the placement of a dental implant with two adjacent crowns.
Let our Calgary and Cochrane dentists explain the benefits of this type of treatment for you.
Yes! We Follow the Alberta Dental Fee Guide!
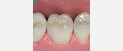
What are Crowns and Bridges?
Crowns Protect Natural Teeth
Traditonally crowns (or caps as they are commonly referred to) are coverings over copings over natural teeth. Implant crowns are crowns used in conjunction with a dental implant (which is taking the place of a tooth root). Dental crowns are made of harder materials that are harder to break than natural teeth, especially those teeth who are compromised with larger fillings or have had root canal treatment.
Bridges Replace Missing Teeth
Bridges consist of two crowns to span over a missing tooth. One crown is placed on each of the adjacent teeth next to a space. A false tooth (also called a pontic) will span the space. While the adjacent teeth may benefit from being covered, this benefit is only seen when the adjacent teeth have structural compromise, again such as a larger filling or have had root canal treatment.
Benefits
Crowns help preserve the health of an existing tooth rather than removing it and considering replacement options from the perspectives of costs, complications and longevity.
Bridges are one of a few options to replace missing teeth (a more ideal option to replace a missing tooth may be a dental implant (if there is sufficient quality and quantity of healthy bone), a partial denture or doing nothing.
Are you looking for a new dentist?
Crown and Bridge Material Options
-

Zirconia Ceramic
This is a Zirconium Oxide Ceramic (not a fake diamond) is a tooth-coloured crown. This material is stronger than porcelain and some metal alloys. it gets fewer sharp edges from normal “wear and tear” on teeth. Zirconia crowns tend to cause less damage and stress on opposing teeth than their porcelain crowns.
At our clinic we routinely request Katana™ Zirconia material from our dental labs.
-

Lithium Disilicate Porcelain (eMax)
eMax Crowns are one of the most aesthetically pleasing options, porcelain can be layered on it, creating incredible translucency and a very realistic looking tooth that matches with other natural teeth. These type of Ceramic crowns are not as wear resistant as Zirconia crowns and are best suited for front teeth.
-

Porcelain Fused to Metal (PFM)
PFM crowns can be colour matched to your adjacent teeth (unlike the Full Gold Crowns). However, more wearing to the opposing teeth may occur with this crown type compared with metal or ceramic crowns. The porcelain portion of a crown can also chip or break off. These crowns can be a good choice for front or back teeth but the real benefit may be seen for long bridges where the stregnth of metal is needed.
-

Full Gold (FGC)
FGC crowns are metal crowns that are alloys with a high content of gold or platinum, or base-metal alloys (for example, cobalt- chromium and nickel-chromium alloys). Metal crowns withstand biting and chewing forces well and probably last the longest in terms of wear. Also, metal crowns rarely chip or break. The metallic color and the high price of gold are the main disadvantages. Metal crowns are a good choice for molar teeth that are usually not seen.
Why Choose Us for Crown and Bridge Treatment?
-

Teeth Whitening
When considering Crown and Bridge treatment for front teeth, one should not overlook the shade of existing teeth. While we take custom shading for new crowns and bridges - once a porcelain shade is used, it won’t become light if you do teeth whitening in the future.
Therefore, one should cosnider teeth whitening options before having a front crown or bridge made. Read more: Teeth Whitening Options
-

Unique Care
We can make recommendations regarding your tooth colour cocern. Choosing the right treatment for the problem rather than a universal solution for everyone. Let our dentists review your concerns at a Check-up/Cleaning or for a Consultation. This is important for best results and avoid complications.
-

Passion
We want the best treatment for ourselves and our team is motivated to delivering the best results for you too! Many of our staff have teeth whitening to routinely keep their teeth looking their best.
Crown and Bridge Considerations
-
Teeth Colour
One of the best times to consider Teeth Whitening is before you have a front-facing implant, crown, bridge or veneer. Since these types of dental treatments won’t change colour in the future, it’s good to consider Teeth Whitening before proceeding.
If you have front-facing white fillings or bonding on teeth we can sometimes evaluate the results after teeth whitening as many quality dental materials are translucent and compensate for tooth colour change.
-
Teeth Alignment
It’s good to let us know if any of these apply to you:
Tooth/Gum Hypersensitivity
Deep intractable stains
Transparent Teeth
Front-facing Implants, Crowns, Bridges and Veneers
Pregnancy/Nursing (case by case)
Over-whitening (we screen for this)
Not to fear, we have solutions for other types of discolorations that don’t involve Teeth Whitening such as composite bonding, porcelain veneers/crowns, etc.
-
Dental Insurance
While generally safe, one of the main risks is sensitivity (usually to cold) during and after treatment. We offer many solutions to help the sensitivity subside and if you have sensitivity we have recommendations to help make your experience a positive one.
Check-up/Cleaning
Smile Consultation
Taking a wholesome approach to reviewing your smile at a Check-up/Cleaning or our Smile Consultation involves looking at the: Alignment, Colour and Shape of Teeth. Why is this important? We want you to be happy with your final results.
Our General Dentists practice many areas of dentistry (also known as multi-disciplinary) on a routine basis and can provide insight into the many combinational ways to create your beautiful smile. General dentists provide your routine care and take the time to develop a plan based on the history of your teeth and mouth - it’s a long term relationship. We are here to look after your smile before teeth whitening and we will continue to monitor and care for you smile after you complete treatment with routine dental check-up and cleaning visits.
There are many options for teeth whitening. We prefer to use IPhilips Zoom! for all of teeth whitening systems for their product innovation, history and predictability. We don’t offer other brands of teeth whitening systems because we don’t feel not all teeth whitening systems are created equal. Lastly, we won’t offer you “free teeth whitening” to entice you to become a patient at our clinic - that’s not how we do thing, especially when it comes to dental health. You deserve to know you are receiving quality care.